MRI融合標的前立腺生検(MRIフュージョン生検)

MRI融合標的前立腺生検とは

採血検査で、前立腺特異抗原であるPSA値が高く、MRI・直腸診・超音波検査などの2次検査によって前立腺がんの可能性が疑われる場合、前立腺生検(組織を採取して調べる検査)が必要です。

従来の生検は直腸から超音波(エコー)を用いて針を刺す方法が一般的でしたが、がんの部位を正確に捉えることが難しく、針がたまたま当たらなければ見つけられないという課題がありました。

当院で導入した BioJet®システムによるMRI融合標的前立腺生検 では、事前に撮影したMRI画像で「がんの疑いがある部位」を解析し、その情報を生検時の超音波画像と融合(フュージョン)させて3Dで表示。針を刺すべき部位を正確にナビゲーションし、ピンポイントで組織を採取できます。

これにより、1度の生検で高確率にがんを発見でき、不要な再検査や体への負担を減らすことが可能になりました。また、早期に診断がつくことで、次の治療へよりスムーズに進むことができます。

この方法は2016年に厚生労働省の先進医療として承認され、臨床研究を経て2022年4月から保険適用となっています。特に、悪性度の高いがんの検出率が向上することが示されています。当院では2025年10月から導入を開始し、戸塚区においては初導入となります。

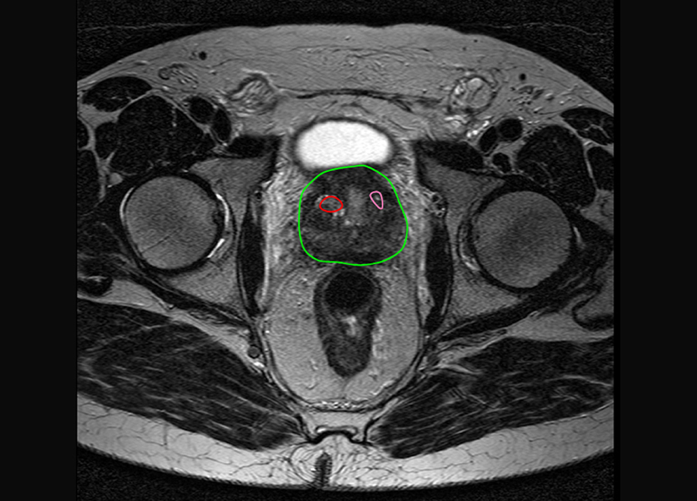
針で組織を採取するMRIフュージョン生検のイメージ。赤と薄橙の部分が、がんが疑われる場所
高性能なナビゲーションシステムによりピンポイントでの採取が可能

検査の流れ

  • 検査は全身麻酔下で行うため、痛みはありません。
  • 入院は2泊3日が基本です。
  • 検査結果は2〜3週間後となります。

検査後も安心サポート

生検の結果、がんが見つかった場合には、病状に応じた治療方針のご説明を行い、ホルモン療法や放射線治療など、必要に応じて医療機関とも連携しながら、一貫したフォローアップを行います。

正確な生検で、早期発見・早期治療へ

前立腺がんの初期症状はほとんどありません

前立腺がんは初期は無症状のことが多いです。また、頻尿や排尿時のトラブルがあっても前立腺肥大症と区別がつきにくいため、早期発見のためには定期的なPSA検査を行い、異常を見逃さないことが大切です。地域によっては自治体が実施する前立腺がん検診の対象になる場合もあります。こうした機会も積極的に活用しましょう。

PSA検査の結果、前立腺がんが疑われた場合には、より精度の高いMRI融合標的前立腺生検を受けることが有用です。

排尿に関する症状に不安がある方や、PSA検査で数値が高いと指摘された方は、早めの受診をおすすめします。お気軽に当院までご相談ください。

泌尿器科